Toggle navigation
Digital Neuropathology @ Pitt
AANP DSS Archive
American Association of Neuropathology Annual Meeting
2025 Diagnostic Slide Session
Protocol
Diagnosis & Discussion
Digital Slides
Images
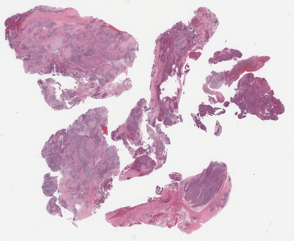
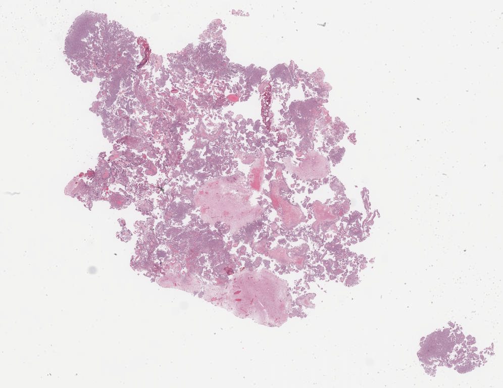
DSS-2025-Case-01
Spinal astroblastoma with EWSR1::BEND2 fusion
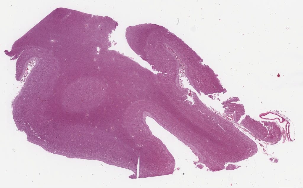
DSS-2025-Case-02
Vanishing White Matter Disease
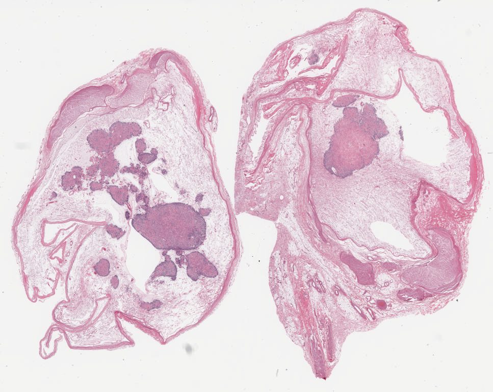
DSS-2025-Case-03
High Grade Glioma with SDHB deficiency, NEC
DSS-2025-Case-04
Gliosis, neuronal loss, and iron deposition with features of pallidonigroluysian atrophy (PNLA)
DSS-2025-Case-05
High grade neuroepithelial tumor with SMARCE1 alteration, CNS WHO grade 4, associated with Li Fraumeni syndrome
DSS-2025-Case-06
Late-Onset Pompe Disease (LOPD)
DSS-2025-Case-07
1. Frontotemporal lobar degeneration with TDP-43 inclusions (FTLD-TDP,subtype A) due to C9orf72 repeat expansion 2. Temporal-predominant neuro-astroglial tauopathy associated withTMEM106B gene polymorphism
DSS-2025-Case-08
Desmoplastic Myxoid Tumor, SMARCB1-altered
DSS-2025-Case-09
Diffuse meningoencephalitis due toEastern Equine Encephalitis (EEE) virus
DSS-2025-Case-10
Epithelioid malignant peripheral nerve sheath tumor (eMPNST) arising in a background of SMARCB1-associated schwannomatosis
DSS-2025-Case-11
Listeria rhombencephalitis